飞依诺两度登录央视二套《经济半小时》

热搜关键词: 小动物超声诊断仪 掌上多普勒超声诊断仪 彩色超声诊断仪 兽用彩超仪

VINNO G86金刚:重新定义超声全身机

来源: | 发布日期:2021-04-29

过去,你如何定义全身应用型彩超设备?

全能=平庸?

心脏应用是弱势?

操作流程过于繁琐?

今天,就让我们走进飞依诺彩超设备G86金刚的主场

看它如何拒绝平庸、颠覆刻板印象

重新定义全身机,就从此刻开始!


VINNO G86金刚宣传大片


全新Lucid平台

4倍变迹精度提升,10倍量级性能升级

16倍信号捕捉能力提升

强劲,突破想象

自适应波束矫正技术

提升1.5倍分辨率,穿透力加强

细腻,从源头出发

全新的散热结构

保障设备稳定运行

沉稳,自由呼吸

模块化能量供应系统

自适应噪声抑制,还原清晰远景图像

智慧,全面优化

金刚G86

前沿技术,是G86金刚的强大灵魂

专业功能,是它全能属性的最佳演绎

关于守护健康,G86金刚的目标是:

『既要面面俱到,又要专业专精!』


■腹部全域覆盖 

腹部全域覆盖

 高穿透力高分辨率 

肥胖及脂肪肝人群呈现近场二维层次分明,远场肝包模组织连续清晰,血流丰富 。

肝脏图像

 立 体 血 流 

更生动、更直观的展现血流分布以及血流动力学特征。

立体血流

 残余尿量自动测量 

膀胱残余尿量自动测量功能,精准高效,减少繁复操作。

残余尿量自动测量


■浅表精『智』呈现 

浅表

 乳腺病灶自动辅助检测VAid 

自动识别异常回声,自动测量病灶大小和纵横比,并提供Bi-RADS分类指导。

乳腺病灶自动辅助检测VAid

 弹性成像(EI)

有效评估组织软硬程度,辅助医生洞察病灶,提供良恶性的倾向判断 。

弹性成像

 浅表超高频应用 

23MHz超高频线阵探头,可对皮肤浅表疾病进行深入研究,例如黑色素瘤等,精度可达0.0lmm 。

浅表超高频


■智慧新生关怀 

智慧新生

 孕前/早孕有效筛查

VAim卵泡自动测量:自动计算卵巢大小,自动识别卵泡位置、计算体积,并标记。有助于优势卵泡的筛选和提示,预测排卵日期。

VAim卵泡自动测量

输卵管容积造影:三维成像结合微泡造影技术,立体呈现输卵管结构形态,准确直观。

二维早孕筛查 :超高分辨率下呈现羊膜连续完整,颈项透明层清晰可见,满足早期胎儿筛查的临床需求。

输卵管容积造影,二维早孕筛查

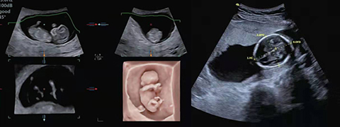
 孕中实时跟踪

运用3D4D成像技术,实现全方位多角度观察胎儿;自动测量胎儿预项透明层、胎儿双顶径、腹围等,提供胎心ZScore评分表,实时监测胎儿生长情况 。

孕中实时跟踪

 产后优「智」呵护

实现三维盆底肛提肌裂孔自动测量和盆底脱垂自动测量功能,多维展示并量化盆底组织结构,为医生提供诊疗依据 。

产后呵护

VAim HIP小儿髋关节自动标记并测量a和β角度,并提供Gro国际分型指导。

VAim HIP


■万象更『心』 

万象更心

专业的心脏辅助诊断功能

负荷超声心动图,应用超声心动图对比观察负荷状态与静息状态超声所见,了解病人心血管系统对负荷的反应状况;应变率成像,准确反映心肌形变的参数,不受心脏整体运动和相邻节段牵拉影响,反映局部心肌舒缩运动 。

心脏辅助诊断

曲线M模式
取样线可放置于扫查切面内任意一段心肌,任意方向、任意形状,从而获得线段上所有心肌节段实时运动信息

曲线M型

实时IMT
实时描记血管前壁和后壁的内中膜,自动测厚度,简化工作流程

实时IMT

多普勒频谱自动包络(Auto Trace)
自动精准包络频谱,自动给出压力、心率、阻力指数等血流动力学指标,方便精准评估

Auto Trace

专业的心血管检查

整体动脉僵硬度自动测量系统(AMAS):为日益增长的颈动脉硬化人群提供可筛查、监控的解决方案。其中自动计算动脉僵硬度的评估指标,可作为预防医学的重要手段

AMAS


面对过去繁复的操作流畅

我们对一成不变说不

个性化工作流设定

『尊重每个医生的操作习惯』


■个性化工作流 

个性化工作流

VReport 自动传输

提供专业、多样的报告模板,支持自定义模板及自主设计全新模板,测量数据自动录入。

自定义工作流

只需设置常用流程模块,即可在完成当前扫查内容后,自动进入下一个扫查步骤 。

自定义用户界面(UI)

触摸屏自主布局,可实现图标的拖拽、增减和大小调整,使操作更加顺杨便捷 。

多任务同步运行

导出数据的同时可继续进行下一个扫查,无需等待,保障效率提高和目标达成。


飞依诺致力于专业医疗彩超设备自主研发与生产、销售。累 计研发投资超 5亿元 600多名员工分布全球,拥有143项专利技术。成立以来,研发超过90款彩超产品,产品远销全球100多个国家及地区,进入超过400家三甲医院,成为全球增长最快的超声品牌。

【本文标签】 飞依诺 彩超设备

【责任编辑】

最新资讯

  • Address

    中国(江苏)自由贸易试验区苏州片区苏州工业园区新庆路65号

  • E-mail

    vinno@vinno.com

  • Tel

    0512-62873806

-->