飞依诺两度登录央视二套《经济半小时》

热搜关键词: 小动物超声诊断仪 掌上多普勒超声诊断仪 彩色超声诊断仪 兽用彩超仪

世界心脏日 | 用超能力看透你的心!

来源: | 发布日期:2021-10-02

如果将人体看作一座超级工厂,那心脏无疑是最敬业的员工,没有之一。在我们精彩纷呈的一生里,心脏大约要孜孜不倦地跳动25亿次,泵出总量约1.82亿升的血液,所做功的总和相当于将3万公斤的重物举上喜马拉雅之巅。

9月29日世界心脏日,就让我们借助飞依诺超声的通透视角,更“走心”地认识一下了不起的心脏。

 

心脏是胎儿最早发育的器官。在人类还是2周左右的小胚胎时,我们的原始心血管就开始努力搏动了,3个月时,胎心血流已十分澎湃。

飞依诺彩超胎心立体血流

胎心立体血流

随着生命的持续孕育,心脏迅速成长,第八周时已基本成型。20周时,超声就能清晰地看心脏结构啦。

飞依诺彩超孕晚期胎心

孕中晚期胎心 

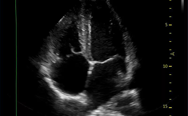
心脏的结构就像一座四开间的二层小楼,分为左右心房和左右心室。

飞依诺彩超四腔心切面

四腔心切面

四间房里,最核心的要数左心室,它就像一个水泵,通过收缩把血液挤压到血管,然后输出到身体的每一处。

飞依诺彩超Auto EF左心室心功能自动测量

Auto EF左心室心功能自动测量 

成年人静息状态下心输出量约为5L/min,一生中,心脏运输的血液高达1.82亿升,足够灌满200辆铁道罐车。

飞依诺彩超LVOT TVI帮助心有效输出量评估

LVOT TVI帮助心有效输出量评估

而心脏之所以能实现如此强大的泵血功能,都要归功于心肌的不断运动。它具有收缩性、自律性、兴奋性和传导性,是心脏正常工作的基础。因此关注心室壁心肌应变能力十分重要。

飞依诺彩超心肌应变成像

心肌应变成像,帮助鉴别心肌运动异常

说完了四间房,再来谈谈四扇门,心脏的四扇门分别为:主动脉瓣、肺动脉瓣、二尖瓣、三尖瓣。它们在心房与心室间规律地开关,可以保证血液的单向流通。

不断开关的瓣膜

不断开关的瓣膜

如果门关不紧,一部分血液就会反流,例如下图的肺动脉瓣膜反流,而如果门开不大,也会造成血液输出受阻,称为瓣膜狭窄,严重时就可能导致心功能异常,甚至心力衰竭。

飞依诺彩超肺动脉瓣反流

肺动脉瓣反流

此外,想要心脏健康绝不能忽略,心脏自带的一顶“王冠”,那就是密切环绕心脏的冠状动脉,它负责将血液源源不断地供给心脏,一旦冠状动脉变得狭窄就会导致心肌缺血,影响心脏对全身的供血能力,增加心脑血管等疾病风险。

冠状动脉

不过,心脑血管疾病并非无迹可寻,主动脉硬化指数就是一个强大的预测因素,利用AMAS动脉僵硬度自动测量系统,就能让动脉僵硬度评估既科学又简单。

AMAS动脉僵硬度自动测量系统

AMAS动脉僵硬度自动测量系统

心脏是人体生命的发动机,重视心脏健康,从心血管病一级预防做起。让医疗科技与健康生活共同发力,让精彩生命只有心动远离心痛。

 

飞依诺超声致力于专业医疗彩色超声诊断仪自主研发与生产、销售。累计研发投资超5亿元,600多名员工分布全球,拥有143项专利技术。成立以来,研发超过90款彩超产品,产品远销全球100多个国家及地区,进入超过400家三甲医院,成为全球增长最快的超声品牌。

【本文标签】 飞依诺彩超 飞依诺

【责任编辑】

最新资讯

  • Address

    中国(江苏)自由贸易试验区苏州片区苏州工业园区新庆路65号

  • E-mail

    vinno@vinno.com

  • Tel

    0512-62873806

-->