热搜关键词: 小动物超声诊断仪 掌上多普勒超声诊断仪 彩色超声诊断仪 兽用彩超仪
热搜关键词: 小动物超声诊断仪 掌上多普勒超声诊断仪 彩色超声诊断仪 兽用彩超仪
摘要:一只4月的边牧,在宠物店洗澡的时候发现心脏有问题,经过朋友介绍来我院进行心超检查,检查发现该犬左心增大,肺动脉扩张,血流信号发现湍流信号,最后确诊为PDA(动脉导管未闭),由于该犬存在肠道寄生虫问题,在口服药物2周后,进行了手术治疗,术后一周伤口恢复正常,肺动脉也恢复正常比例,左心也之前有所减小。
1病例介绍
1.1基本信息及病史
患犬年龄4个月,主人刚饲养不久,疫苗齐全,抗体检测达标。该犬平时在家就是不爱运动,运动起来的时候喘的厉害,主人以为该犬天性乖巧。带去宠物店洗澡,被发现该犬心脏跳动的不对,主人带来医院检查的。
1.2检查及诊断
1.2.1体格检查
体温38.5°C,心率:162bpm左右,收缩压:140-188mmHg,体重7kg,呼吸频率30左右,听诊左侧第四肋骨持续性心杂音6级,黏膜颜色:淡粉红,CRT<2s,体况评分(9分制):4分。精神状态:安静。
1.2.2实验室检查
爱德士五分类血常规检查可见该犬贫血,血小板增多,生化肌酐指标升高,ALT丙氨酸氨基转移酶升高,BNP心房利钠肽指标五千多。心电图可见心动过速,P波和R波都升高了。
1.2.3影像检查
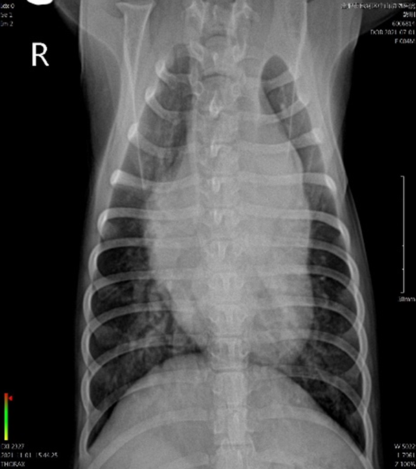
DR胸部正侧位片可见气管上抬,左心房增大,正位片可见肺动脉膨出,VHS=11.9v,心脏彩超右侧长轴可见左心室增大,左心房增大,二尖瓣返流,LA/AO=1.64,PA:AO=1.24,LVIDD=44.23cm,左心容量过载,肺动脉扩张,右侧头侧短轴切面,可见持续性湍流从动脉导管流入肺动脉,血流速度过快。


1.2.4诊断结果
综合听诊,胸片及心超可确诊为先天性心脏病动脉导管未闭,从左到右分流,伴有左心容量过载,左心舒张功能亢奋,收缩功能下降。
1.3治疗及预后
1.3.1术前准备和麻醉
术前用药:MD 0.2-0.3mg/kg 肌肉注射,布托啡诺0.2-0.4mg/kg IV
诱导麻醉:丙泊酚0.5ml/kg诱导插管
维持麻醉:异氟烷1.5%-2%维持,术中局麻:布比卡因
术后镇痛导管+镇痛泵:布比卡因8小时推注一次。镇痛泵CRI
1.3.2手术过程
该犬进行开胸手术,从第三、四肋间,切开皮肤,肌肉和胸膜,使用牵开器打开胸腔,分离迷走神经,找到主动脉和肺动脉之间的动脉导管,使用90°C直角分离钳,进行分离,使用不可吸收性1号线,进行上下2道结扎。在分离的过程中,要小心动脉导管不要被分离破裂。一旦分离破裂,出血通常是致命的。手术完毕后,滞留胸导管和皮下镇痛导管。
胸部大面积剃毛,消毒,贴膜,监护呼末二氧化碳,血压,心电图,血氧脉搏,采用呼吸机。打开胸腔,找到动脉导管,分离,结扎,滞留胸导管和皮下镇痛导管。
1.3.3术后治疗
该犬术后当天24小时看护,监测血压心率,给与对症消炎预防感染,术后持续给与镇痛泵和皮下镇痛导管推注布比卡因,每天给与匹莫苯丹。术后三小时,该犬可以主动吃东西,术后第二天,开始下地小跑,术后第三天,拔除皮下镇痛导管,术后第五天,由于胸腔积液小于每天每公斤体重2.2ml,拔除胸导管。术后第七天复查心超+胸片,VHS=9.8v,左心房减小,LA/AO=1.24,PA/AO=0.96,LVIDD=3.05cm,肺动脉湍流消失,术后该犬明显变的活跃,同时该犬E波明显下降,肺动脉瓣口出现轻度返流,肺动脉湍流的血流也消失了。
术后血常规贫血情况缓解,同时BNP心房利钠肽检测比之前降低很多。
1.3.4术后回访
该犬回访在家吃喝大小便都正常,也不在像之前那样运动喘的情况,也比之前调皮活跃多了。主人也发现之前的乖是因为心脏的问题导致的。
2.讨论
2.1基本特征与临床症状
某些特定品种犬PDA发生率较高,且普遍认为是多基因遗传模式,雌性犬PDA的发病率较雄性犬约高3倍。【1】本文是4月龄边牧,母犬。该犬就诊的时候才4个月龄,就已经发生了全心增大,运动不耐受的临床症状,可见该犬动脉导管分流的血量较大,引起左心过载。肺动脉增粗,手术的时候也发现该动脉导管较粗。通过彩超检查,发现该犬是从左到右的导管未闭,也是唯一可以通过手术治疗的情况,如果发展到从右到左,就不建议继续手术治疗,因为会引起剧烈的右心衰竭。
2.2病情发展
该犬从出生之前,肺部是不工作的,只有少量的血从右心室过来,大多数的血液从未闭合的动脉导管流入到主动脉,往后肢方向,不过出生后转变为肺呼吸。动脉导管在正常情况下在出生数小时内发生功能性闭合,经过几个月以上结构改变形成永久性闭合。【1】由于该犬没有闭合,主动脉的血压高于肺动脉,所以每次射血的过程中,都会有血流分流到肺动脉,随着时间的发展,肺动脉分流增加,左心房持续过载,左心室也持续过载,所以左心房和左心室都相对增大,二尖瓣环被牵拉引起二尖瓣闭锁不全形成返流。同时因为主动脉每次射血量的减少,所以心率也因此比正常心率升高,通过提高心率来提高心输出。如果该犬不进行治疗,后面将面临随着肺动脉持续分流,导致肺动脉增粗,肺部长时间高压的状态,肺部血管的增粗和压力增大,导致肺动脉高压,当肺动脉压力等于主动脉的时候,分流停止,再逐渐发展成肺动脉压力大于主动脉,最终发展成从右(肺动脉)到左(主动脉)分流。
2.3治疗
目前的治疗有两种方式,
第一种,胸腔外科手术:从肋间切开胸腔或者使用胸腔镜技术,将动脉导管分离出来,使用不可吸收线进行闭合,优点是直接,大多数医院可以开展,对设备需求度偏低。但是可能有并发症,比如血胸,脓胸,气胸等情况,同时手术的风险死亡率8%~11%。【2】
第二种,环栓塞术:通过引导管,从腿部或者颈部静脉,进入心脏,放置大小合适的血管内环栓塞物,将动脉导管闭合。优点并发症少,创伤小。缺点对设备要求高,技术熟练度高,太小的动物不合适选择此方案。【2】
该犬7kg,四月龄,本院没有第二种方案的设备和技术,所以采用第一种方案。手术成功后,临床症状会有很大改善,同时胸腔X光片会在6-12个月后改变,年龄越小的动物,相对恢复速度会更快,可逆转的情况越好。据报道,无手术治疗者60%患者会在一年内死亡,根据导管粗细情况和返流情况不同病例存活时间不同。
参考文献:
【1】(美)Richard W.Nelson等主编;夏兆飞等译.小动物内科学(第三版)【M】北京:中国农业大学出版社,2012.6
【2】犬猫心脏门诊手册;蔡志鸿主编,天津科技翻译出版有限公司,2017.5
本文来源于:合肥市包河区中山动物医院 张谷勇
飞依诺科技(苏州)有限公司是专业从事医用彩超诊断仪研发和生产的厂商。多款产品入选优秀国产医疗设备名单,引领中国超声技术发展。近300名全球化研发人员,拥有143项专利技术。凭借强劲的自主研发实力,承担多项国家级重大科研项目,入选国家“十三五”重大专项。其兽用 彩超以优质的图像质量,便捷的操作流程,特有的心脏超声辅助诊疗系统和全流程的培训服务,受到广大兽医师们的关注和欢迎。
【本文标签】 兽用彩超
【责任编辑】