飞依诺两度登录央视二套《经济半小时》

热搜关键词: 小动物超声诊断仪 掌上多普勒超声诊断仪 彩色超声诊断仪 兽用彩超仪

飞依诺AMAS系统:心脑血管疾病的超级预言家!

来源: | 发布日期:2021-09-20

它,是人类健康的头号大敌,每年约1500万人因其丧命;它,是诡谲莫测的致患幽灵,全球5.23亿人正身陷囹圄,它就是心脑血管疾病

如何才能精准捕捉心脑血管疾病信号?如何才能超前十年,甚至数十年建立预防机制?一直是医疗科研领域的重点攻坚目标。

聚焦医疗科技,以创新预见未来。今天就让我们一起来认识一位能预测心脑血管危机的超级预言家飞依诺AMAS动脉僵硬度自动测量系统。

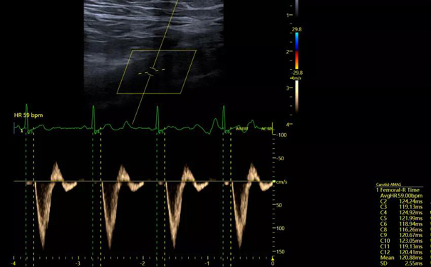
飞依诺AMAS系统

飞依诺AMAS

一种颠覆式的血管评估方式

随着年龄增长,以及高血压等各种血管危险因素的共同作用我们的动脉将逐渐失去原有弹性,僵硬度增加,这也是导致心脑及其他靶器官损伤的重要根源。

评估动脉僵硬度是预防心脑血管疾病的重要举措

因此,尽早评估动脉僵硬度是预防心脑血管疾病的重要举措。目前,主动脉脉搏波速度(Aortic PWV)被广泛认为是反应动脉僵硬度的最重要指标之一。前瞻性研究表明,Aortic PWV每增加1m/s,心血管及全因死亡率都将增加15%。

Aortic PWV每增加1m/s,心血管及全因死亡都将增加15%

为了能使动脉僵硬度评估在临床应用中赋能深远,惠及更多患者,飞依诺联合超声医学专家,创新研发出AMAS系统。基于前沿超声科技,让人体颈-股 PWV以更人性化的形式精准呈现,开启了新时代动脉僵硬度评估的全新里程。


智慧评估一键即达

更准、更快、更普适

在实际临床应用中,飞依诺AMAS系统简而有效的优势更为鲜明。

“金标准”有创动脉僵硬度评估法相比,AMAS安全无创,更易用,并且其评估结果与金标准有着高度一致性(R=0.93)。

与传统压平式压力计法、机械式压力传感器法相比,AMAS灵敏、可靠,并且摒弃了对昂贵设备的依赖,让临床应用更简单。

飞依诺AMAS系统

/飞依诺AMAS自动精准测量/

更重要的是,飞依诺AMAS系统全面降低了对操作经验的依赖。操作者只需打开系统,一键点击,即可自动完成测量计算,轻松获得Aortic PWV指标。

即使是初学者,也基本能在2分钟内完成操作,比传统方法节约70%的时间,并且大幅提高了数据的精准性。


飞依诺AMAS系统


飞依诺AMAS系统

疾病早期难诊易治,晚期易诊难治。飞依诺AMAS系统的诞生,无疑为心脑血管疾病的一级预防打通了更科学的落地途径。未来,希望AMAS能深入临床,赋能科研,为预防医学以及广泛的基础医疗工作提供全面服务。

 

飞依诺彩超致力于专业医疗彩色超声诊断仪自主研发与生产、销售。累计研发投资超5亿元,600名员工分布全球,拥有143项专利技术。成立以来,研发超过90款彩超产品,产品远销全球100多个国家及地区,进入超过400家三甲医院,成为全球增长最快的超声品牌。

【本文标签】 飞依诺AMAS系统 AMAS

【责任编辑】

最新资讯

  • Address

    中国(江苏)自由贸易试验区苏州片区苏州工业园区新庆路65号

  • E-mail

    vinno@vinno.com

  • Tel

    0512-62873806

-->